
Cosmetic Dentistry
Transform your smile with our comprehensive range of cosmetic dental treatments
Request a Callback
Same-day reply · No obligation
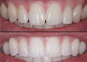
Here at Phoenix Dental we're committed to helping our patients smile confidently again. We offer a range of cosmetic dentistry treatments to improve the appearance of teeth, gums and/or bite. We will discuss every option with you including colour, positioning, shape, size, alignment and overall smile appearance.
Your smile is one of the first things people notice about you. If you're self-conscious about your teeth, cosmetic dentistry can help you achieve the confident, beautiful smile you've always wanted. Whether you're looking to fix a single imperfection or completely transform your smile, our experienced team will work with you to create a personalized treatment plan.
We use the latest techniques and materials to ensure natural-looking results that complement your facial features. During your consultation, we'll take the time to understand your concerns, explain your options, and help you make informed decisions about your dental care.
From subtle enhancements to dramatic transformations, cosmetic dentistry can address a wide range of concerns including discolored, chipped, misaligned, or missing teeth. Our goal is to help you achieve a smile that not only looks great but also functions properly and lasts for years to come.
Give us a call on 01305 774370 to book in or send an email to info@phoenixdentalcare.uk.
Popular Treatments
- Porcelain Veneers
- Teeth Whitening
- Composite Bonding
- Tooth Coloured Fillings
- Smile Makeovers
Transform Your Smile
Book a cosmetic consultation to discuss your smile goals
Book ConsultationView PricesPorcelain Veneers

A veneer is a thin layer of porcelain (roughly 0.5-1.0mm in thickness) which is custom made to fit over the front surface of a tooth, like a false fingernail would fit over a nail. Sometimes a natural colour 'composite' material is used instead of porcelain.
Veneers are used to improve the colour, shape and alignment of your teeth. A precise shade of porcelain can be chosen to give the right colour to improve a single discoloured tooth or to lighten the front teeth. A veneer can make a chipped tooth look perfect again.
Tooth Coloured Fillings

Many people have amalgam (silver) fillings in their mouth however nowadays fillings can be more natural looking, whilst still doing the job. More people are opting to avoid silver fillings that show when they laugh or smile because they are more conscious about the way they look.
It is usually best to change fillings only when your dentist recommends that an old filling needs replacing, you can ask to have it replaced with a tooth-coloured filling.
Composite Bonding
This is the application of a tooth-coloured composite resin (plastic) to repair a fractured, chipped, decayed or discoloured tooth and even just to change the shape of a tooth.
Unlike veneers, which are manufactured in a laboratory and require a customised mould to achieve a proper fit, bonding can be done in a single visit. The procedure is called bonding because the material bonds to the tooth.

Teeth Whitening
Professional whitening treatments that can brighten your teeth by several shades. Available as in-office treatment or take-home kits.
Quick Results
Results in 1-2 hours with in-office treatment
Dramatic Change
Teeth can be several shades whiter — individual results vary
Safe & Effective
Professional treatment with proven results
Complete Smile Makeover
A comprehensive treatment plan combining multiple cosmetic procedures to achieve your dream smile. Customized to your unique needs and goals.
Personalized Plan
Treatment tailored to your specific needs and smile goals
Digital Smile Design
Preview your new smile before treatment begins
Dramatic Transformation
Comprehensive improvements for a stunning new smile
Contact Our Treatment Coordinator
We can offer a range of solutions for your perfect smile. Just fill out the form below to arrange your consultation.
Our Treatment Coordinator's role is to use training and in-depth knowledge to inform and educate you, ensuring you can make informed decisions that are right for you. This means that all our patients have someone to talk to, throughout their journey with us. Fill out the form and we'll get in touch.
Alternatively give us a call on
01305 774370